teeth-whitening
Applied Procedures:
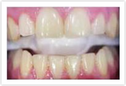
Teeth Whitening
![]() |
![]() |
| Before Photo | After Photo |
Your teeth can become discolored due to drinking coffee or tea, smoking, even medications and age. In about an hour, you can erase all of this discoloration, and walk out with a whiter, brighter, and healthier looking smile.
Applied Procedures:
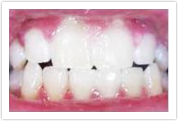
Teeth Whitening
![]() |
![]() |
| Before Photo | After Photo |
Here whitening was successful in fixing a very dark stain on a single tooth as well as improving the overall color of the rest of the smile.
Applied Procedures:
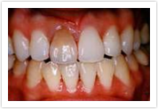
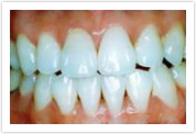
Teeth Whitening
![]() |
![]() |
| Before Photo | After Photo |
In this example, whitening was used to make a great smile even more brilliant and beautiful.






